Cabinet des Docteurs Jacques WEMAERE & Philippe LAVAUD & Juliette TOMASETIG & Céline PAUTRIZEL
Chirurgiens-Dentistes à CENON
Cabinet des Docteurs Jacques WEMAERE & Philippe LAVAUD & Juliette TOMASETIG & Céline PAUTRIZEL
Chirurgiens-Dentistes à CENON

Blog - Page 11

Le syndrome d'apnées obstructives du sommeil (saos)

Le syndrome d'apnées obstructives du sommeil (saos)

Les micro-réveils nocturnes peuvent être le signe d'une apnée du sommeil avec obstruction respiratoire. Si vous êtes concerné, consultez rapidement pour retrouver un sommeil serein !

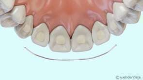
Fil de contention

Fil de contention

Conséquence de la perte des dents postérieures

Conséquence de la perte des dents postérieures

Protocole de dévitalisation d'une dent ou traitement endodontique

Protocole de dévitalisation d'une dent ou traitement endodontique

Parodontite et formation de la poche parodontale

Parodontite et formation de la poche parodontale

Le surfaçage

Le surfaçage

Affichage des articles 61-66 sur 198

Création par Webdentiste

Connexion