Cabinet des Docteurs Jacques WEMAERE & Philippe LAVAUD & Juliette TOMASETIG & Céline PAUTRIZEL
Chirurgiens-Dentistes à CENON
Cabinet des Docteurs Jacques WEMAERE & Philippe LAVAUD & Juliette TOMASETIG & Céline PAUTRIZEL
Chirurgiens-Dentistes à CENON

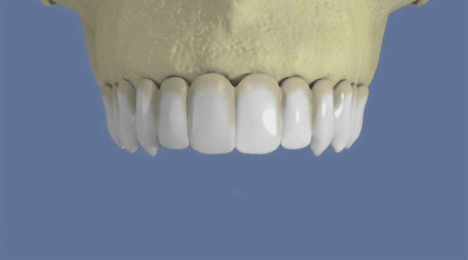
Maxillaire : bridge vissé sans fausse gencive


video-play-icon

Articles similaires

Création par Webdentiste

Connexion